友情提示
本站部分转载文章,皆来自互联网,仅供参考及分享,并不用于任何商业用途;版权归原作者所有,如涉及作品内容、版权和其他问题,请与本网联系,我们将在第一时间删除内容!
联系邮箱:1042463605@qq.com
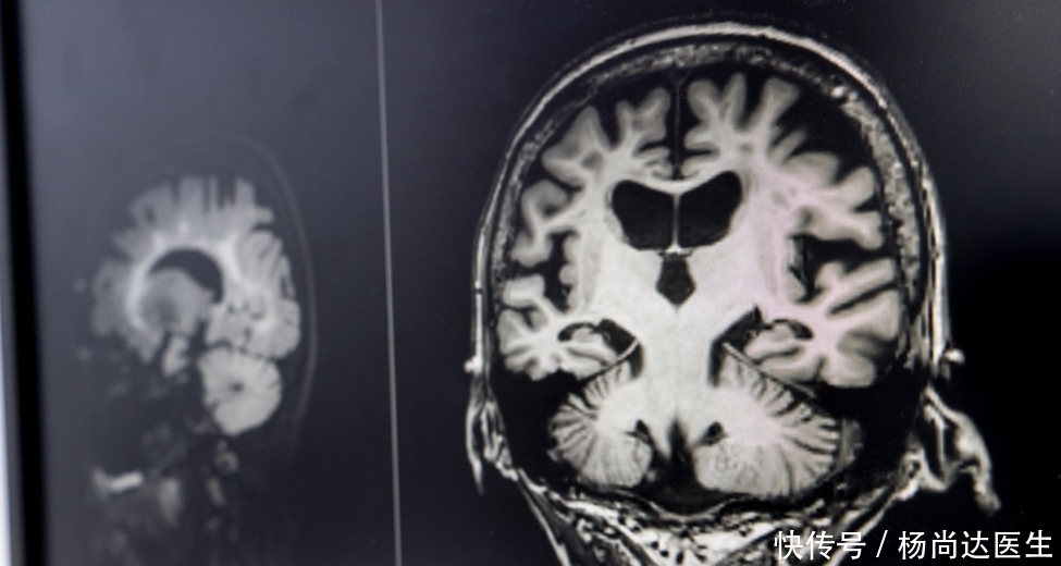
年纪大了害怕脑萎缩?中医:3种药用得越早效果越好
56
0
相关文章
最新文章
标签云
褪黑激素
智能手机
心理健康
睡眠质量
美国
中国人
剧烈运动
瑞典
肿瘤
饮食习惯
睡眠时间
颈椎
睡眠障碍
颈椎病
虚拟世界
耳机
慢性疾病
老年人
帕金森
颈椎间盘
失眠
高血压患者
高血压
健康
干眼症
深度睡眠
中医
蛋白质
熬夜
习惯
进食
生活
大扫除
驼背
习惯性
肠胃
枕头
打呼噜
睡不着
佝偻病
宝宝
肺部
是真的吗
血脂异常
心脑血管
中药
藿香正气水
前列腺增生
心血管疾病
强身健体
咖啡因
焦虑症
抑郁症
中风
头晕头痛
甲鱼
黑芝麻
增强免疫力
病毒感染
病毒
优质蛋白
恶性肿瘤
胃部
胃癌
中国居民膳食指南
癌症
含糖饮料
夜半歌声
盗汗
肝癌患者
肝癌
老年痴呆
老年痴呆症
装修
哺乳期
咖啡豆
缺铁性贫血
锻炼
血液循环
白酒
肝脏
不良习惯
中国文化
脂肪肝
香港
张曦雯
天涯侠医
陈豪演员
院士
教授
北京
阮少平
总顾问
阳气
寒邪
病根
夏季养生
短剧
张力
现代
医学
名不虚传
北大
毕业
正骨
纯爱
恋恋
偶剧
追剧热潮
爱你韩国电视剧
奶粉
母乳
米汤
婴幼儿
张玄化
创业
留学
爱情
人生
沈惜凡
针灸
爱你
偶像剧
现偶剧
尴尬症
陈皮
穿搭
徐若晗
张凌赫
现代装
爱你王心凌专辑
草药
药膳
西医
何苏叶
推拿
追剧
爱情剧
古装戏
治癌
李时珍
日本
外科
汉方
汉医
治愈
女经理
甜妹
江苏台
医生
科学
医德
宣扬
抗癌
儿科
药理
相信爱情
爱情故事
方剂
中药方
手术
囊肿
针刺
麻醉药
癌症患者
秘方
王晓
药王谷
抗癌中心
权健
股票
减税
体检
快递
业务量
天气
中国姑娘
奥运冠军
药用价值
白茅根
清热解毒
围城
卵子
三亚
外国游客
中医药
俄罗斯
黑木耳
红枣
绿茶
骑自行车
鸡蛋



